08/08/2025
Scoliosis Beyond the Spine: How It Impacts Breathing, Digestion, and Mental Health. (Dr Tan Jin Aun and Dr Deepak)


When people think of scoliosis, they tend to picture a curved spine and posture issues but in reality, the condition often extends far beyond the back, quietly affecting breathing, digestion, and mental wellbeing. In Malaysia, idiopathic scoliosis – the most common form – affects roughly 2–3 % of Malaysians, translating to 600,000–900,000 individuals nationwide. Other forms of scoliosis include congenital scoliosis (present from birth), degenerative scoliosis (common in the elderly), and neuromuscular scoliosis (linked to conditions like cerebral palsy and spina bifida).
While many associate scoliosis with adolescence, its effects often extend far beyond the teenage years. The condition, especially in moderate to severe cases, can have a profound effect on quality of life that is frequently overlooked in mainstream health conversations. As part of its commitment to holistic spine care, Sunway Medical Centre Damansara (SMCD) is spotlighting scoliosis’ lesser-known complications and why timely diagnosis and multidisciplinary management matter.
Beyond the Curve – Understanding Scoliosis and Its Systemic Effects
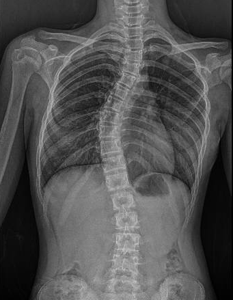
Scoliosis is defined as an abnormal lateral curvature of the spine, often accompanied by vertebral rotation. Most cases are diagnosed during adolescence, and severity varies – from mild asymmetry to curvatures exceeding 45 degrees that require surgical correction.
The spinal column, however, isn’t an isolated structure – it connects and interacts with vital organs, muscles, and systems throughout the body. Especially in moderate to severe curvature cases, patients could potentially experience respiratory restrictions, gastrointestinal disruptions, and mental health challenges.

According to Dr Tan Jin Aun, Consultant Orthopaedic and Spine Surgeon at SMCD, patients with mild scoliosis (typically between 20 and 40 degrees) often remain asymptomatic aside from visible postural differences. “Secondary health effects tend to occur when curvature becomes severe, generally between 70 to 100 degrees,” Dr Tan explains. “At this stage, the impact can vary depending on several factors of which include the age and overall health of the patient. The location of the curve and the type of scoliosis also influence whether respiratory or digestive complications arise.”
How Breathing and Digestion Are Affected
As scoliosis progresses, it can begin to influence key physiological functions – starting with two of the most commonly affected areas: breathing and digestion. When the spine curves abnormally, it can rotate or twist the ribcage. This reduces lung volume and causes restrictive lung disease, making it harder for patients to breathe deeply. “For thoracic curves, an angle of 70 degrees or more may start limiting lung expansion while a curve of more than 100 degrees can lead to severe pulmonary restriction and thus, difficulty in breathing or decreased effort tolerance,” says Dr Tan. Similarly, severe deformity (such as lumbar curves above 90 degrees) can compress the abdominal cavity which may lead to bloating, acid reflux, or constipation – symptoms that can be commonly misattributed to gastrointestinal issues.
When people think of scoliosis, they tend to picture a curved spine and posture issues but in reality, the condition often extends far beyond the back, quietly affecting breathing, digestion, and mental wellbeing. In Malaysia, idiopathic scoliosis – the most common form – affects roughly 2–3 % of Malaysians, translating to 600,000–900,000 individuals nationwide. Other forms of scoliosis include congenital scoliosis (present from birth), degenerative scoliosis (common in the elderly), and neuromuscular scoliosis (linked to conditions like cerebral palsy and spina bifida).
While many associate scoliosis with adolescence, its effects often extend far beyond the teenage years. The condition, especially in moderate to severe cases, can have a profound effect on quality of life that is frequently overlooked in mainstream health conversations. As part of its commitment to holistic spine care, Sunway Medical Centre Damansara (SMCD) is spotlighting scoliosis’ lesser-known complications and why timely diagnosis and multidisciplinary management matter.
The Overlooked Psychological Impact
Beyond physical discomfort and limitations, the emotional and psychological toll of scoliosis is just as real and often goes unnoticed. For many patients, the condition’s effects extend beyond posture or movement. Those living with scoliosis face challenges that can extend to persistent pain, fatigue, and diminished mobility. Daily struggles such as these are often internalised, especially when scoliosis isn’t outwardly visible. Over time, the emotional strain of “coping in silence” can be as challenging as the condition itself – particularly when misunderstood by peers, teachers, or family members.
“In my experience, patients with mild scoliosis are generally healthy and often unaware of the condition. They usually don’t present with anxiety or depression linked directly to scoliosis,” explains Dr Tan. “That said, self-esteem issues do arise, especially in cases where bracing is required.”
Bracing – while medically beneficial – can have a social and emotional impact, particularly for younger patients such as school-going children. With daily wear time reaching up to 23 hours over several years, it can be a physically and emotionally demanding experience. “It’s important to prepare both the patient and their parents beforehand,” Dr Tan adds. “The decision to move forward with bracing should always consider both physical outcomes and psychosocial wellbeing. There’s no one-size-fits-all answer; it has to be a shared, well-informed decision.”
Implementing a Whole-Person Approach to Scoliosis Care
At SMCD, scoliosis care extends beyond spinal alignment. Recognising that the condition can affect respiratory function, digestive health, and emotional wellbeing, the hospital adopts a multidisciplinary, patient-centred approach that considers the full picture – not just the curve.

According to Dr Deepak A/L Ajit Singh, Consultant Orthopaedic Surgeon (Spine Surgery and Interventional Pain Management), diagnosis typically begins with clinical evaluation and spinal radiographs to confirm the type and severity of curvature. “Patients with mild curvature – especially those who have reached skeletal maturity – are often managed conservatively. In these cases, we monitor the spine annually, refer for physiotherapy to improve posture and muscle strength, and support families with accurate, realistic guidance,” Dr Deepak explains. Should surgery be required, specialists at SMCD prioritise safety and precision through technologies like spinal navigation and neuromonitoring; tools that help reduce surgical risk and optimise outcomes.
But above all, early detection remains key. Although many cases are identified through school screening, early signs are often overlooked or dismissed – especially when subtle symptoms are mistaken for poor posture, fatigue, or unrelated health issues. As a result, many Malaysians tend to overlook these signs and delay acting on early recommendations. This often leads to intervention only when the condition has progressed significantly.
Therefore, SMCD encourages individuals to seek evaluation even in the absence of pain, especially children or adolescents with uneven shoulders, abnormal posture, or a visible back hump. “A simple spinal radiograph is often all that’s needed to determine whether scoliosis is present. If we detect it early, we can plan the right course of action – whether it’s monitoring, bracing, or in some cases, surgical correction,” states Dr Deepak, emphasising the importance of timely assessment. “After all, it’s not just about treating the spine but rather protecting long-term quality of life.”
Scoliosis may start in the spine, but its impact reaches far beyond. Recognising these hidden effects is key to changing how we approach care and public awareness. SMCD is committed to reshaping scoliosis care – not only by straightening spines, but by supporting the people who live with them.
Kembali
